
Chirurgia parodontale
La salute del nostro sorriso non dipende solo dai denti, ma in gran parte dai tessuti che li sostengono e li proteggono. La chirurgia parodontale rappresenta la branca specialistica dell'odontoiatria che si occupa proprio di queste fondamenta vitali: le gengive e l'osso alveolare. Spesso, quando la malattia parodontale (comunemente nota come piorrea) ha superato gli stadi iniziali, le terapie non chirurgiche non sono più sufficienti. In questi casi, un intervento mirato è essenziale non solo per fermare la progressione della malattia, ma anche per salvare i denti che altrimenti sarebbero destinati alla perdita.
Nel mio studio, l'approccio alla chirurgia parodontale è olistico e personalizzato. Non vediamo un caso clinico, ma una persona con esigenze specifiche. Il nostro obiettivo non è solo curare l'infezione, ma anche ripristinare l'architettura dei tessuti danneggiati e, dove le condizioni lo permettono, rigenerare quelli persi. La chirurgia parodontale si configura quindi come un vero e proprio percorso terapeutico, indispensabile per garantire la stabilità e la longevità del tuo sorriso.
Le Tecniche Chirurgiche per un Sorriso Solido e Sano
A seconda della specifica situazione clinica, adottiamo diverse tecniche chirurgiche, tutte supportate da un'esperienza pluriennale e da un aggiornamento costante sulle metodologie più innovative:
Terapie Resettive: Queste procedure sono progettate per eliminare le tasche parodontali, spazi profondi tra dente e gengiva dove i batteri possono annidarsi e proliferare. Rimuovendo il tessuto infetto e rimodellando la gengiva, creiamo un ambiente più sano e facile da pulire, rendendo l'igiene quotidiana molto più efficace e riducendo il rischio di recidive.
Chirurgia Rigenerativa: Quando la malattia ha causato una perdita significativa di osso e tessuto parodontale, è possibile ricorrere a tecniche di **chirurgia rigenerativa**. Utilizzando biomateriali avanzati e membrane specifiche, stimoliamo il corpo a ricostruire i tessuti di sostegno perduti. Questa è una delle frontiere più affascinanti della parodontologia, che ci consente di preservare i denti in situazioni che in passato avrebbero portato inevitabilmente all'estrazione.
Chirurgia Mucogengivale: L'estetica e la protezione sono altrettanto importanti. La chirurgia mucogengivale viene impiegata per trattare difetti come le recessioni gengivali (il ritiro delle gengive che espone le radici dei denti) o le ipertrofie. Con innesti di tessuto molle, siamo in grado di coprire le radici esposte, prevenendo la sensibilità e la carie radicolare, e di ripristinare un profilo gengivale armonioso, migliorando significativamente l'estetica del sorriso.
La mia esperienza, maturata in anni di pratica e in un continuo confronto con i maggiori esperti del settore, mi permette di offrirti non solo un piano di trattamento personalizzato e all'avanguardia, ma anche la sicurezza di essere guidato verso un futuro in cui il tuo sorriso è non solo bello da vedere, ma soprattutto sano, stabile e duraturo.
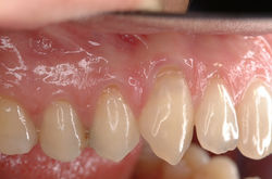
Chirurgia mucogengivale coronale multipla
Quando le gengive si ritirano, esponendo le radici dei denti, non è solo una questione estetica. Questa condizione, nota come recessione gengivale, può causare sensibilità, aumentare il rischio di carie radicolare e compromettere la stabilità a lungo termine del sorriso. La chirurgia gengivale coronale multipla è una soluzione avanzata per trattare queste problematiche, soprattutto quando interessano più denti in un'unica area.
​
L'obiettivo di questa tecnica chirurgica è ricoprire le radici esposte utilizzando i tessuti molli del paziente stesso. A differenza di approcci più invasivi, la chirurgia gengivale coronale multipla permette di trattare un'intera arcata o un quadrante in una sola seduta, minimizzando i disagi e riducendo i tempi di guarigione.
​
Come Funziona
L'intervento prevede il prelievo di un piccolo innesto di tessuto connettivo dal palato del paziente, che viene poi posizionato e suturato con grande precisione sulle radici scoperte. Questa tecnica, altamente specializzata, garantisce:
Risultati Estetici Superiori: Ripristina l'armonia del sorriso con un profilo gengivale naturale e uniforme.
Miglioramento della Salute Orale: Le radici protette non sono più soggette a sensibilità e a un maggiore rischio di carie.
Minore Invasività: L'approccio avanzato riduce il dolore post-operatorio e accelera il processo di guarigione.​
![]() | ![]() | ![]() |
|---|
![]() | ![]() | ![]() |
|---|
Strip technique
Nel campo della chirurgia mucogengivale, la Strip Technique rappresenta una soluzione innovativa ed estremamente efficace per trattare i casi di recessione gengivale isolata, ovvero il ritiro delle gengive che interessa un singolo dente. Questa tecnica si distingue per la sua capacità di ottenere risultati estetici ottimali con un'invasività minima.
​
A differenza di altre procedure che prevedono ampi prelievi di tessuto dal palato, la Strip Technique utilizza una stretta striscia di tessuto connettivo, appunto una "strip", che viene prelevata con delicatezza. Questa striscia di tessuto viene poi posizionata e ancorata con precisione nella zona in cui è necessario ripristinare il corretto profilo gengivale, coprendo la radice esposta.
​
I Vantaggi della Strip Technique
Minima Invasività e Minore Disagio Post-Operatorio: L'utilizzo di una piccola striscia di tessuto riduce il trauma sia nella zona di prelievo che in quella di innesto, garantendo una guarigione più rapida e meno dolorosa per il paziente.
Risultati Estetici Naturali e Prevedibili: Grazie alla precisione del posizionamento dell'innesto, è possibile ottenere una copertura completa della radice esposta, ripristinando un profilo gengivale che si integra perfettamente con i tessuti circostanti.
Preservazione del Palato: La ridotta area di prelievo contribuisce a preservare l'integrità del palato, rendendo l'intera esperienza più confortevole.​
![]() | ![]() | ![]() | ![]() | ![]() |
|---|---|---|---|---|
![]() | ![]() | ![]() | ![]() | ![]() |
![]() | ![]() |
Tecnica Bilaminare
La tecnica bilaminare rappresenta una soluzione chirurgica d'avanguardia per trattare in modo efficace le recessioni gengivali, ovvero il ritiro delle gengive che espone le radici dei denti. Questa condizione non è solo un problema estetico, ma può causare ipersensibilità, aumentare il rischio di carie radicolare e compromettere la stabilità del dente.
​
Come Funziona
La tecnica bilaminare si distingue per la sua precisione e per la minima invasività. L'intervento prevede il prelievo di un sottile strato di tessuto connettivo dal palato del paziente. A differenza di altre procedure, questo prelievo è ridotto al minimo, garantendo un fastidio post-operatorio decisamente inferiore.
​
Il tessuto prelevato viene quindi posizionato con cura nella zona di recessione gengivale e ricoperto da un lembo di tessuto circostante, come una coperta protettiva. Questa "doppia lamina" (da cui il nome bilaminare) garantisce una migliore vascolarizzazione e una maggiore stabilità dell'innesto, massimizzando le probabilità di successo e offrendo risultati estetici straordinari.
​
Vantaggi della Tecnica Bilaminare
Minima Invasività: L'approccio riduce il trauma chirurgico e i tempi di guarigione.
Risultati Estetici Superiori: Permette di ripristinare un profilo gengivale naturale e armonioso, che si integra perfettamente con i tessuti esistenti.
Massima Affidabilità: La copertura del tessuto innestato assicura una protezione ottimale e favorisce un'integrazione efficace.
![]() | ![]() | ![]() | ![]() | ![]() |
|---|

























